京都のインビザライン矯正・マウスピース矯正

医療法人くわばら歯科医院 インビザライン矯正専門サイト 医療法人くわばら歯科医院 インビザライン矯正専門サイト

  • TOP
  • 当院について

    当院について

    • - ドクター紹介
    • - 院内のご案内
    • - アクセス・診療時間
  • マウスピース矯正について

    マウスピース
    矯正について

    • - ここが違う!当院の矯正治療
    • - マウスピース矯正
    • - 部分矯正
    • - 10代の矯正
    • - 子どもの矯正
    • - 治療の流れ
    • - 症例紹介
    • - よくあるご相談
  • 料金
  • お悩み相談室

    お悩み相談室

    • - 歯並び別・後戻りのお悩み
    • - 矯正しようか迷っている方へ
    • - 矯正治療のホント
  • お問い合わせ
  • アクセス・診療時間
  • Web無料診断

閉じる

  • アクセス
  • Web診断
  • ご予約
  • 無料相談
  • Web診断
  • ご予約
  • 矯正カウンセリング予約

    • 075-972-3666

      月火金
      9時~12時・14時~20時
      水土
      9時~14時
    • 24時間受付 ネット予約

    • LINEで気軽にご相談

    診療時間 〇…9:00~14:00 / 休診日…木曜・日曜・祝日

    閉じる

MENU

症例紹介

  1. TOP
  2. 症例紹介
  3. 部分矯正

部分矯正の記事一覧

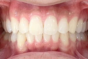
  • 2026.04.07

    部分矯正

    20代男性「歯並びを治したい」マウスピース矯正で治療した…

    • before

    • after

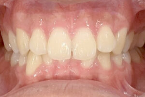
  • 2025.10.03

    部分矯正

    20代男性「歯並びを治したい」マウスピース矯正で治療した…

    • before

    • after

  • 2025.07.01

    部分矯正

    10代男性「下の歯並びが気になる」マウスピース矯正で治療…

    • before

    • after

  • 2025.05.09

    部分矯正

    20代女性「過去に矯正したが、前歯の前突が気になっている…

    • before

    • after

  • 2025.03.07

    部分矯正

    20代女性「歯並びをキレイにしたい」部分矯正で治療した症…

    • before

    • after

  • 1
  • 2
  • >

カテゴリー

  • すべて
  • 部分矯正
  • ディープバイト
  • 八重歯
  • 出っ歯
  • 叢生(ガタガタ)
  • すきっ歯

歯並びのこと何でも相談しよう 検査後、あなたに最適な治療をご提案します。丁寧で親切な医師が対応しますので、安心してご相談してください。

075-972-3666

24時間受付 ネット予約

pagetop

医療法人くわばら歯科医院 インビザライン矯正専門サイト

〒614-8289 京都府八幡市美濃山一ノ谷8-1
tel : 075-972-3666

詳しいアクセス方法

診療時間表

診療時間表

  • 医療法人くわばら歯科医院公式サイト
  • くわばら歯科医院様インプラントサイト
  • くわばら歯科医院様Instagram
  • TOP
  • 当院について

    • - ドクター紹介
    • - 院内のご案内
    • - アクセス・診療時間
  • マウスピース矯正について

    • - ここが違う!当院の矯正治療
    • - マウスピース矯正
    • - 部分矯正
    • - 10代の矯正
    • - 子どもの矯正
    • - 治療の流れ
    • - 症例紹介
    • - よくあるご相談
  • お悩み相談室

    • - 歯並び別・後戻りのお悩み
    • - 矯正しようか迷っている方へ
    • - 矯正治療のホント
  • 料金
  • お問い合わせ
  • Web無料診断

© 2019-2026 Kuwabara Dental clinic