矯正中と気づかれない
マウスピース矯正
「インビザライン」
インビザラインなら、取り外し可能な透明のマウスピースで歯列矯ができます。ワイヤーを使わないので目立ちにくく、気付かれにくい矯正治療ができます。


他の矯正とどう違うの?
マウスピース矯正
「インビザライン」の特徴
-

目立たないから治療中も笑顔
マウスピース矯正の一番のメリットは、装置が目立たないこと。 薄く透明な医療用プラスチック製でできており、周囲に気付かれません。治療中の見た目が気になる方におすすめの矯正治療法です。
-

装置を外して、食事ができる
患者さまご自身で、取り外せるもの特長のひとつです。治療中も普段通りに食事ができます。取り外したマウスピースは洗えますので、歯、装置ともに衛生的です。
-

痛みにくく快適
マウスピース型の矯正装置は、段階的に歯を動かしながら歯並びを矯正するため、比較的痛みが少ないです。また、口内の粘膜や舌に当たって出血したりせず、快適に過ごせます。
治療はどの医院で受けても同じというわけではありません。
治療後の仕上がりが良く、患者さまに負担をかけない当院の矯正治療をご紹介します。
01
無料!
無料の矯正シミュレーションで
矯正後の歯並びが確認できます
口腔内スキャナー
iTero(アイテロ)導入医院
iTeroでスキャンした現在の歯型をもとに、ご希望の歯並びに矯正されていく様子をシミュレーション画像としてご確認できます。治療を決める前の無料サービスですので、お気軽にご利用ください。


-
02
マウスピース矯正でも
仕上がりに妥協しませんクリニカルスピーカーによる
調整が行われる医院クリニカルスピーカーとは、開発元の米企業公認のインビザラインを指導する立場のドクターです。当院ではクリニカルスピーカーと契約し、インビザラインの調整を加えております。インビザラインは機材があればどこでも同じ。だったら安い方が良いな、と思われるかもしれませんが、実際は携わる医師の技量や経験により異なります。クリニカルスピーカーによる調整で、より美しい歯並びが仕上がります。

-
03
多くの治療実績を持つ
プラチナドクターが在籍インビザライン提供会社より
認定を受けています当院では2023年に年間156件のインビザラインGOの症例に、2024年は年間151件のインビザラインの症例に対応し、インビザラインを提供する米国アライン・テクノロジー社より多くの症例対応実績を有する「プラチナドクター」として認定された医師が在籍しています。
豊富な実績を持つ医師が、マウスピース矯正「インビザライン」の治療を行います。
-
04
ホワイトニングを
無料でセットきれいな歯並びが白く輝くと
本当に美しい口元になります医療法人くわばら歯科医院では、マウスピース矯正の患者さまには無料でホームホワイトニングのサービスを行っております。歯並びの美しさと同時に輝くような白い歯を手に入れませんか。

-
05
管理料・追加の費用は
一切不要です初診に提示の費用以外
かからないので安心です医療法人くわばら歯科医院では、お見積り以外の追加費用はいただいていません。毎回の治療の際の管理料は一切かかりませんし、治療期間が延びても費用は同じです。ご安心ください。


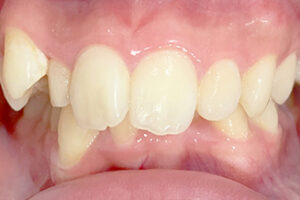
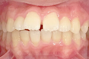
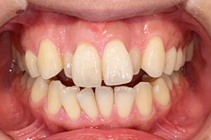
マウスピース矯正 症例紹介
当院で治療したマウスピース矯正の症例をご紹介いたします。様々な症例に対応しています。
マウスピース矯正
「インビザライン」の流れ
-

01口腔内の検査後
丁寧にご説明します歯並びについてお悩みをお聞きします。レントゲン撮影後、医師がお口の状態を拝見し、必要な処置、治療プラン、おおよその治療期間についてご説明いたします。
-

02事前に歯の動きを
確認できます最新機器iTero(アイテロ)という機械でお口の中をスキャンし、歯の状態を調べます。矯正治療での歯の動きや治療後の歯並びをご確認いただけます。
-

03専用の
マウスピース作成治療シミュレーションを元に、歯の位置や動かす順番、動かすスピードなどを考慮し、担当医師が調整を加えたデータを元にマウスピースを発注します。
-

04治療後の
歯並びが見れますまずは、3D治療計画のご確認をしていただきます。治療後、どこまで歯が動き美しい歯並びになるか見て頂き、治療の励みにしてもらえればと思います。
-

051日20時間装着、
1~2週間でアライナー交換アタッチメントの取り付けや、実際に装着する練習などを行います。毎日20時間装着し、1~2週間ごとに新しいマウスピースに交換してください。
-

06月に一度
来院くださいお口の中の状態を確認し、治療の進み具合いをチェックいたします。むし歯などあれば、治療いたします。次回来院までに必要なマウスピースをお渡しします。
-

07後戻りしないように
フォロー矯正治療が完了してから1年間は、後戻りしやすい時期ですので、リテーナーを装着することをおすすめします。歯の位置が固定されていきます。
マウスピース矯正
「インビザライン」の料金
矯正料金
-
インビザライン
800,000円(税別)
-
リテーナー
50,000円(税別)
その他の料金
-
カウンセリング・検査・レントゲン
(矯正シミュレーション)無料
-
ホワイトニング
無料
よくあるご質問
-
小児矯正はいつから開始すべき?
治療をはじめるタイミングは、歯並びによって違います。 早い治療が望ましい症例は3~6歳から、その他は6~10歳くらいまでと様々です。 小児矯正は、上下の顎の骨のバランスや大きさを整えて、永久歯がきちんと生える準備をする治療です。 主に、乳歯の頃、あるいは乳歯から永久歯に生えかわる混合歯列期に行います。 まずは、当院までお気軽にご相談ください。
-
小児矯正の治療期間は、どれくらいかかるのでしょうか?
小児矯正は治療をスタートする時期や歯列の状態などによって治療期間が異なります。通常、小児矯正は、乳歯列から永久歯列にはえかわるまでの治療をいいますので、永久歯列にはえかわるのが、おおよそ12才位となっていますから小児矯正治療をスタートした時期から12才位までと考えると分かりやすいと思います。
-
小児期の指しゃぶりは、歯列にどんな影響を与えますか?
一般的に長期の指しゃぶりは、歯列や噛み合わせへの影響とともに開咬(奥歯が噛み合っていても前歯が噛み合わない状態)の出現により発音、嚥下、出っ歯による口元の突出やあごの発育への影響が生じます。 小児期の指しゃぶりについては、矯正歯科医、小児歯科医、小児科医や臨床心理士など専門的な立場でそれぞれ見解が分かれますが、矯正歯科医の見解では、5才になっても指しゃぶりがあり、歯列になんらかの影響がある場合、治療の対象となります。 小児期の指しゃぶりは、4才頃までに止められれば問題ありません。2~3才頃までの指しゃぶりは、ごく普通の生理的現象ですが、5才を過ぎて指しゃぶりが続くと歯列やあごの成長への影響が出てくる可能性が高くなります。
-
小児矯正治療は、痛みはありますか?
小児矯正装置を装着したり調整等の治療ごとに2~3日、歯を噛み合わせると軽い痛みがあることがありますが、小児期のお子さまは成人より歯が動きやすく骨自体も柔らかいため、小児期のうちは、違和感や痛みは軽度のことが多く、またお子さまによっては全く痛くないという方もいらっしゃいます。 小児矯正治療中の痛みや違和感は個人差がありますが、小児期は非常に軽度のことが多いので、あまり心配はありません。
-
インビザライン・ティーンには 治療対象年齢はありますか?
インビザライン・ティーンは永久歯が完全に萌出していないなど、10代の矯正治療における様々な課題を考慮した治療システムです。

















