10代女性「八重歯を治したい」マウスピース矯正で治療した症例
-
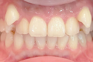
before
-
after
| 年齢・性別 | 10代女性 |
|---|---|
| ご相談内容 | 「八重歯を治したい」とご相談いただきました。 |
| カウンセリング ・診断結果 |
典型的な八重歯が出ている状態でした。 シミュレーションの結果、上顎4番目を抜歯してマウスピース矯正することで理想的な噛み合わせになると診断いたしました。 |
| 行ったご提案 ・治療内容 |
上顎4番目の歯を2本抜歯して矯正する治療方針をご提案しました。 患者さまからもご了承いただきました。 |
| 治療期間 | 2年 |
| おおよその 費用 |
¥935,000(税込) (内訳)矯正代:¥880,000/リテーナー:¥55,000 |
| 術後の経過 ・現在の様子 |
歯茎の位置までキレイになったと患者さまはもちろん、ご家族さまからも喜んでいただきました。 |
| 治療リスク | 矯正中は多少の痛みを感じたり、一時的に物が噛みづらくなるがございます。 ※治療期間・通院回数は症状により異なります。 |

